犬・猫の誤食は命に関わることも|催吐処置の正しい考え方 誤食は時間との勝負
こんにちは!国分寺ハートアニマルクリニックです!
ここ最近、チョコやお菓子などの誤食が相次いでおります。
バレンタインデーも終わりましたが次はホワイトデーが待っています。
しかし、気をつけるのはチョコの誤食だけでないです。
「少し目を離したすきに、薬を飲んでしまった」
「チョコレートの袋を破っていた」
「靴下がなくなっている…」
このような誤食事故は、動物病院では日常的に遭遇する緊急トラブルです。
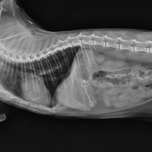
下の写真は当院で検査したX線検査での写真になります。


そして、治療の結果を左右する最大のポイントは、
“どれだけ早く適切な対応ができたか”
です。
今回は、誤食時の正しい行動、催吐できる時間の限界、胃洗浄や紹介対応まで含めて、医学的根拠に基づいて解説します。
■ 誤食とは?なぜ危険なのか
誤食とは、本来食べるべきでない物を飲み込んでしまうことを指します。
代表的な例として、
・人の薬(鎮痛薬・睡眠薬など)
・チョコレート、玉ねぎ、ぶどう
・電池、硬貨
・おもちゃ、布、靴下
・竹串、骨
などがあります。
これらは、
✔ 中毒
✔ 消化管損傷
✔ 腸閉塞
✔ 消化管穿孔
につながる可能性があり、重症化すると命に関わります。
「元気そうだから様子を見る」は、最も危険な判断になることがあります。
■ まず飼い主様が確認すべき3つのポイント
誤食に気づいたら、次の3点を整理してください。
① 何を食べたか
② いつ食べたか
③ どれくらい食べたか
可能であれば、パッケージや写真を持参していただくと、診断精度が大きく向上します。
■ 催吐処置とは何か
催吐処置とは、胃の中にある異物や毒物を吐かせて体外へ排出する医療行為です。
適切なタイミングで実施できれば、
・手術の回避
・中毒症状の軽減
・入院期間の短縮
につながる重要な治療法です。
しかし、催吐には明確な「時間制限」があります。
■ 【重要】催吐が有効とされる時間帯
▶ 胃内容物の移動時間
犬や猫の胃内容物は、通常、
摂取後 約1〜3時間で小腸へ移行する
とされています。
小腸へ移動すると、吐かせても回収が困難になります。
▶ 主な参考文献
以下の国際的ガイドラインに基づいています。
- The Merck Veterinary Manual(2023–2024)
- Plumb’s Veterinary Drug Handbook 第9版(2018年)
- BSAVA Small Animal Formulary 第10版(2020年)
- ASPCA APCC Guidelines(2019–2023年)
これらでは共通して、
「誤食後1〜2時間以内が最も有効」
とされています。
▶ 一般的な時間の目安
| 経過時間 | 催吐の有効性 |
|---|---|
| 0〜2時間 | ◎ 最も有効 |
| 2〜4時間 | △ 条件付き |
| 4時間以上 | ✖ 原則困難 |
※個体差・誤食内容により例外あり
▶ 誤食後の経過時間と催吐処置の有効性

時間が経過するほど、回収率は急激に低下します。
■ 時間だけで判断してはいけない理由
以下の場合は、胃内滞留時間が延びることがあります。
・脂肪分の多い食事
・大量摂取
・高齢動物
・基礎疾患による胃運動低下
そのため、最終判断は必ず獣医師による評価が必要です。
■ 当院での誤食対応について
当院では、誤食内容・経過時間・全身状態を評価し、以下から最適な方法を選択します。
✔ 催吐処置
✔ 胃洗浄
✔ 紹介対応(内視鏡など)
✔ 外科手術
✔ 経過観察
症例ごとに最善の選択を行います。
■ 胃洗浄が必要となるケース
催吐で十分な除去ができない場合には、胃洗浄を検討します。
胃洗浄とは、鎮静または麻酔下でチューブを用いて胃内を洗浄する処置です。
▶ 主な適応例
・催吐が無効
・大量摂取
・中毒物質
・意識低下
・嘔吐困難
▶ リスク
・麻酔リスク
・誤嚥
・胃粘膜損傷
・循環不安定
慎重な判断が必要です。
■ 当院で使用する催吐方法と副作用
● バソラミン
・ふらつき
・軽度鎮静
・効果不十分
● アポモルヒネ(主に犬)
・強い眠気
・興奮
・頻回嘔吐
・脱水
・心拍変動
● クレボル点眼
・結膜充血
・流涙
・刺激感
使用後は洗眼処置を行います。
■ 催吐・胃洗浄を行わないケース
❌ 尖った異物
❌ 洗剤・腐食性物質
❌ 石油製品
❌ 意識障害
❌ 呼吸異常
無理な処置は重大事故につながります。
■ 内視鏡対応について(2026年2月19日現在)
2026年2月19日現在、当院では内視鏡による異物摘出には対応しておりません。
必要な場合は、ERや二次診療施設へ速やかにご紹介します。
■ 来院が遅れた場合のリスク
対応が遅れると、
✔ 内視鏡不可
✔ 開腹手術
✔ 長期入院
✔ 重症化
につながる可能性があります。
■ 予防が最大の治療です
✔ 薬は必ず収納
✔ ゴミ箱は密閉
✔ 床に物を置かない
✔ 留守前チェック
特に若齢期は注意が必要です。
■ まとめ|誤食は「すぐ相談」が最善です
誤食対応の基本は、
・時間との勝負
・自己判断しない
・早期受診
です。
「大丈夫かな?」と思った時点で、すでに相談のタイミングです。
大切なご家族を守るため、正しい知識と早い行動を心がけましょう。
【参考文献】
- The Merck Veterinary Manual, Gastrointestinal Motility, 2023–2024
- Plumb DC. Plumb’s Veterinary Drug Handbook, 9th ed. 2018
- BSAVA Small Animal Formulary, 10th ed. 2020
- ASPCA Animal Poison Control Center Guidelines, 2019–2023
LINE友だち追加で診察予約・最新情報がチェックできます!!
国分寺、小平、小金井周辺にお住まいの飼い主様
定期的な健康チェックから心臓病、歯のお悩みまで、気になることがございましたらご相談ください。
大切なペットが元気に過ごせるよう、スタッフ一同サポートいたします
--------------------------------------------------------------------
国分寺ハートアニマルクリニック
東京都国分寺市本多3-3-5プラザ明和1階
042-316-8631
--------------------------------------------------------------------


